ブルーラジカル歯周病治療
BLUE RADICAL P-01
セキハタ齒科医院では、顎関節の診断を起点として顎関節と咬合を調和させるためのお口全体の総合治療を基本としていますが、歯周病でお悩みの皆さまのご要望にお応えし、歯周病治療だけを切り取って受診いただける特別コースを用意しました。
プランは➀ゲストコースと②メンバーコースの2種類があります。各コースの詳細は、下記をご覧ください。
歯周病にお困りの方で他院にて治療中でもブルーラジカル治療が受診できるコースです。ただし、このコースはかかりつけの歯科医の診療情報提供書が必要です。
CT撮影後、歯周ポケット5㎜以上の箇所を歯科用実態顕微鏡を使ってブルーラジカル治療のみを行ないます。治療報告はかかり付け歯科医に報告させて頂きます。
歯周病にお困りの方で他院での診療情報提供書がなくてもブルーラジカル治療が受診できるコースです。メンバー登録をしていただくと、セキハタ歯科医院でおこなっている歯周治療と同等の治療内容を受診することが出来ます。
外傷性咬合が含まれる歯周疾患が疑われる場合は、“顎関節を起点としたお口全体の総合治療”をご受診いただけます。


まずパノラマレントゲンとCT撮影で口腔内の状況を把握し、その後歯科医師が歯周病の概要とブルーラジカルP-01の働きについてわかりやすくご説明いたします。このご案内を通じて、歯周病という感染症への理解を深めていただきます。
口腔内写真撮影、PPD(プロービングポケットデプス歯肉溝の深さ)測定、BoP(プロービング時の歯肉からの出血測定)、プラーク付着状況(プラークインデックス)の検査、歯周病菌検査(BANAペリオ)
歯周病検査を基にして診断をし、その方の病状に即した治療計画を作成しご案内いたします。その際今後にかかる概算費用の見積もお作りします。

歯周病の原因の一つは、細菌が生息・繁殖する際に作り出す糊状の物質「プラーク」です。歯周病の予防・治療には、毎日1回ご自身でプラークを隅々まで取り除くセルフケアが欠かせません。予防プログラムでは、そのセルフケア習慣をしっかり身につけていただくサポートをいたします。
担当の歯科衛生士がマンツーマンでサポートし、患者さまのペースに合わせてケア方法をマスターできるよう、しっかりお手伝いいたします。また、患者さまと担当衛生士とを繋ぐアプリ「ペルミル」を活用し、当院での口腔内情報をいつでも共有できる体制を整えています。

予防プログラム終了後、その成果をPPD測定やBOB測定を用いて評価をします。そして1歯ごとに、溝の深さが
①5mm以上の歯の歯周ポケット
②3〜5mm未満の歯の歯周ポケット
③3mm未満の歯肉溝
に分類しそれぞれの治療方針を決定していきます。この時点で最終見積費用が決まりますのでご報告を致します。


ブルーラジカル治療の治療効果を確認するプロセスです。歯周ポケットの深さや炎症の程度、治癒具合、口腔内の清掃状況を評価します。

ブルーラジカル治療を含むすべての治療終了後、約10週間後に最終評価検査(歯肉溝測定、炎症や出血の状態、お手入れ状況等)を実施いたします。最後に、その結果をご報告し、今後の歯周病管理についてアドバイスいたします。
なお、メンバーコースの治療には外傷性咬合の治療は含まれていないため、歯周病治療後のメンテナンスはおこないません。
メンテナンスをご希望の場合は、“顎関節を起点としたお口全体の総合治療”を受診いただければ、治療完了後に自動的にメンテナンスに移行します。
治療する歯の本数によって、治療費用は上下します。
再生治療費は除きます。 ※α:治療する歯の本数
院長自身がブルーラジカル治療を受けたときの実体験を踏まえてブルーラジカルの効能をご紹介します。
院長は以前より顎関節包内機能障害(顎関節内の関節円板変位を原因とする障害。1990年代、Mark A. Piper医師が疾患として定義。日本ではいわゆる顎関節症候群と呼ばれる)を抱えていました。Piper先生の顎関節包内機能障害に対するアプローチと治療法は、長年咬合治療に取り組んできた当院にとってまさに理想的なものでした。2013年からは彼の診断法と治療法を導入し、『Foundational Occlusion Dentistry』として当院の治療の柱に据えています。
翌2014年、この疾患を学んでいく上で自分の状況も診断しておこうと思いMRIを撮影したところ、左右ともに Piper Stage IVa12時という診断結果となりました。このStage IVa12のステージは関節円板の移動がかなり進んでいるステージです。院長自身、咬合の変化による食いしばりや歯ぎしりが多く、その結果口腔内にいろいろな症状が出現、障害の深刻さを身をもって体験しました。今まで学んできた知識と自身の症状を照らし合わせ、Pioper先生の考え方に大いに納得したそうです。
顎関節包内機能障害は体のさまざまな部位に障害をもたらす疾患です(※顎関節包内機能障害の俯瞰図をご参照ください)。
顕著な症状として、噛み合わせの変化と下顎頭の退行性疾患(骨の細胞が壊れて行く病気)が挙げられます。
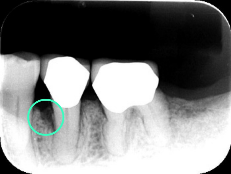
特に噛み合わせの変化は、歯根破折(歯の根が竹を割ったように割れてしまうこと)と歯を支えている歯槽骨の垂直的な吸収を引き起こしますが、噛み合わせの変化は緩やかに進行するため、自覚症状はほとんどありません。さらにこの特異な咬合状態が続くと、歯周病菌の影響で歯槽骨の垂直性吸収が起こり、破壊された骨は膿となって歯肉の中に溜まっていきます。その結果、歯肉が急に腫れ、噛むと痛みが出てくる (咬合痛)事態へと発展していきます。レントゲンでは歯槽骨の吸収が顕著に見えます。(レントゲン写真参照)


このような場合、歯周ポケットは5mm以上になってしまうことが多く、従来は歯肉を切り開いて患部の清掃をするフラッペ手術(歯周外科手術)を選択するのが常識でした。しかし、歯肉に外科的侵襲が加えられることになるので、創傷治癒には一定の時間がかかるというデメリットがあります。
外科手術以外の方法としては、SRP&RD (スケーリング・ルートプレーニング・ルートディブライトメント)や洗浄、咬合調整、抗菌剤の塗布といった保存療法しか選択肢がありませんでした。
それに対して、ブルーラジカルPO-1は、世界初の厳格な治験を経て認可された非外科的治療で、歯周ポケット内およびその底部を直接殺菌・消毒する最新の治療法です。
院長の場合は、翌日には腫れや膿、咬合痛が解消、ポケット深さも3mmに減少。以降は適切なセルフケアで、良好な状態を維持できており、 その効果が想定以上であったため大いに驚いたそうです。
ブルーラジカル治療は失われた歯槽骨を再生し治癒に導くものではありません。 しかし、活性酸素によるポケット内およびポケット底に対する殺菌消毒によって 歯肉が再付着し、歯根にぴったりと密着した環境をつくります。 結果、炎症がなくなり、歯周ポケットの長さが激減し、プラークコントロールが格段にしやすくなり、良好な環境に改善されていきます。場合によっては、外科処置や再生治療と同等の成果が期待できることもあります。
ブルーラジカル治療は、国の治験をクリアして歯周治療器具として認可を受けていますが、臨床実験はまだまだ数が足りていません。ブルーラジカル治療のデータは、今後まとまり次第ご案内をしていく予定です。

ブルーラジカル治療をご希望の方は、下記のメールフォームからコースを選択してお申し込みください。お電話での申込みは受け付受けておりません。お申し込み内容を確認次第、当院よりご連絡いたします。